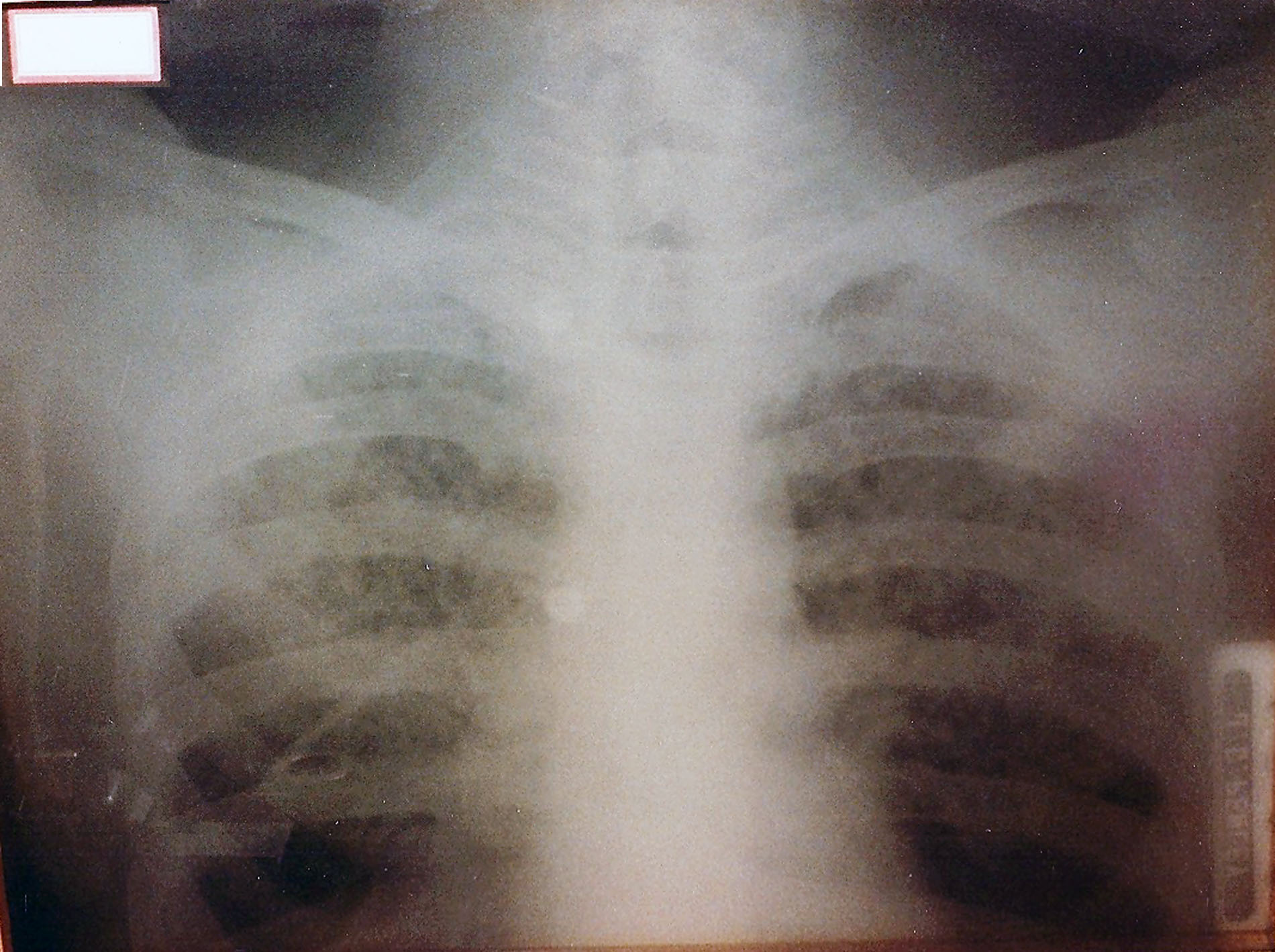
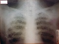
Category: Radiology
Estimated Date: 1920
Name: Glass X-Ray Plate
Manufacturer: Unknown
Description: This chest x-ray of a patient with Tuberculosis from 1920 is printed on glass. The term “flat plate” arose from the original practice of using glass plates instead of film for printing X-Rays. The plate is 11“x 14” and has a paper label indicating a 6 second exposure.
